ก้อนขนอุดตันในน้องแมว

26332 จำนวนผู้เข้าชม  | 

ก้อนขนอุดตันในน้องแมว

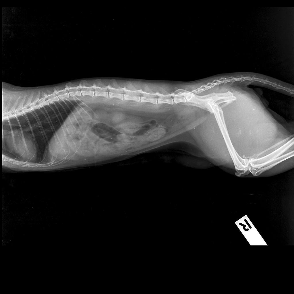
จากการตรวจเลือดทั่วไป พบว่าค่าเลือดปกติ จากการ X-ray พบว่ามีแก๊สสะสมในทางเดินอาหารเล็กน้อย จึงทำการส่งตรวจวินิจฉัยเพิ่มเติมด้วยการ Ultrasound พบว่า กระเพาะอาหารมีการขยายตัวเล็กน้อย ลำไส้เล็กยังไม่พบว่ามีการอุดตัน จึงทำการรักษาด้วยการให้ยาฉีดเพื่อลดการอาเจียน ยาปฏิชีวนะ และให้ยาระบายกลับบ้านไปกินด้วย หลังจากนั้นนัดมาฉีดยาต่อเนื่อง 3 วัน เจ้าของแจ้งว่า น้องไม่มีอาการอาเจียนแล้ว ทานอาหารได้ และในวันที่ 3 น้องก็ถ่ายออกมาเป็นอุจจาระที่มีก้อนขนปนอยู่ด้วยจริงๆ 


ภาวะก้อนขนอุดตันในทางเดินอาหารนั้น มักจะพบได้มากในแมวสายพันธุ์ที่มีขนยาว เช่น เปอร์เซีย เมนคูน แต่ก็ใช่ว่าในแมวขนสั้นจะไม่มี เพียงแต่ว่าอาจจะพบว่าเป็นได้น้อยกว่า เนื่องจาก แมวมีนิสัยรักสะอาด และรักการแต่งตัวเป็นที่สุด ใน 1 วัน หากเราได้อยู่กับแมว 24 ชั่วโมงเต็มๆนั้น เราจะเห็นว่า ไม่ว่าจะตื่นนอน หลังกินข้าว หรือแม้แต่ตอนที่สบายใจที่สุด นอกเหนือจากการนอนแล้วนั้น น้องเหมียวของเรามักจะใช้เวลาไปกับการเลียตัวทำความสะอาดตัวเอง แถมน้องยังมีลิ้นที่มีคุณสมบัติคล้ายกับแปรงหวีขนอีกด้วย ยิ่งทำให้ขนที่เลียเข้าไปนั้น จะต้องติดลิ้นและกลืนลงไปในทางเดินอาหารอย่างแน่นอน ซึ่งเป็นเรื่องปกติตามธรรมชาติของแมวอยู่แล้ว แต่เนื่องจากขนเป็นสิ่งที่ไม่ถูกย่อยสลายได้ด้วยน้ำย่อยในทางเดินอาหาร มันจึงถูกขับออกมาได้กับอุจจาระ หรืออาจจะถูกขับออกมาด้วยการอาเจียนก็ได้ นี่เป็นเรื่องดี เพราะว่าเมื่อไหร่ที่ก้อนขนไม่ถูกขับออกมา แปลว่ามันมีการสะสมจนกลายเป็นก้อนขนาดใหญ่เกินไป อาจทำให้มันไปอุดตันทางเดินอาหารได้ ซึ่งถ้าถึงขั้นนั้นแล้วล่ะก็ น้องเหมียวของเราอาจจะต้องได้รับการผ่าตัดแก้ไขก็เป็นได้ ดังนั้นเราจึงต้องหาวิธีป้องกันเพื่อไม่ให้เกิดก้อนขนมาอุดตันเสียก่อน วิธีง่ายๆก็คือ 

เราต้องหมั่นทำการหวีขนให้น้อง โดยเฉพาะแมวที่ขนยาว เพื่อช่วยกำจัดขนที่หลุดร่วงออกในแต่ละวันออกก่อนที่น้องจะมาเลียตัวเองและกินมันเข้าไป 
ใช้ผลิตภัณฑ์ที่มีส่วนช่วยในการขับก้อนขนออกอย่างน้อยสัปดาห์ละ 1-2 ครั้ง เช่น เจลอาหารเสริมสำหรับช่วยขับก้อนขน
ให้อาหารที่มีส่วนช่วยในการขับก้อนขน
และที่สำคัญ หากเราพบว่าน้องเหมียวมีอาการอาเจียนผิดปกติ คือ มากกว่า 2-3 ครั้งต่อวัน ควรรีบพามาพบสัตวแพทย์ทันที เพราะอาการที่น้องอาเจียนนั้น อาจเป็นจากโรคอื่นๆที่ไม่ใช่ก้อนขนอุดตันก็เป็นได้ค่ะ


เขียนและเรียบเรียงโดย 

                                                                                                                              สพ.ญ. เมธินี ปิติทวีวัฒน์

สัตวแพทย์หน่วยอายุรกรรมผู้ทำการรักษา

Powered by MakeWebEasy.com
เว็บไซต์นี้มีการใช้งานคุกกี้ เพื่อเพิ่มประสิทธิภาพและประสบการณ์ที่ดีในการใช้งานเว็บไซต์ของท่าน ท่านสามารถอ่านรายละเอียดเพิ่มเติมได้ที่ นโยบายความเป็นส่วนตัว  และ  นโยบายคุกกี้