4495 จำนวนผู้เข้าชม |
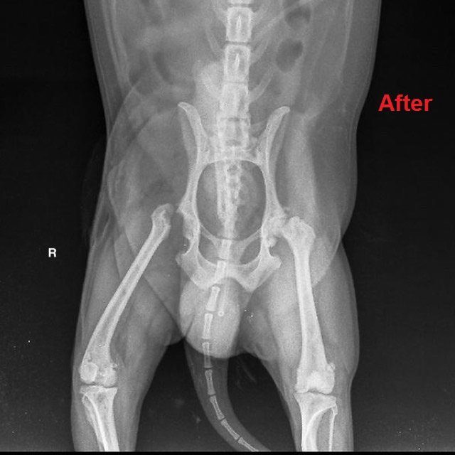
สัตวแพทย์ตรวจร่างกายเบื้องต้นพบว่า โมจิมีเห็บหมัดบนร่างกาย เสียงหัวใจเริ่มผิดปกติ ขาหลังขวาลงน้ำหนักไม่ได้ คลำพบการเคลื่อนของข้อสะโพกขวา กล้ามเนื้อขาหลังขวาเริ่มมีการฝ่อลีบจากการที่ไม่ใช้ขาเป็นเวลานาน สัตวแพทย์จึงตรวจวินิจฉัยเพิ่มเติมด้วยการตรวจเลือดพบว่าโมจิติดเชื้อพยาธิเม็ดเลือดชนิด Ehrlichia canis ซึ่งโน้มนำให้มีภาวะเกล็ดเลือดต่ำร่วมด้วย และเมื่อถ่ายภาพเอกซเรย์พบว่ากระดูกข้อสะโพกขวาเคลื่อนหลุดจากเบ้า

แผนการรักษาคือทำให้โมจิกลับมาเดินได้อีกครั้ง สัตวแพทย์ประเมินแล้วว่าการรักษาที่ดีที่สุดคือศัลยกรรม ซึ่งต้องเตรียมร่างกายและผลเลือดให้พร้อมในการวางยาและผ่าตัดก่อน สัตวแพทย์จึงทำการรักษาภาวะติดเชื้อพยาธิเม็ดเลือดจนหายดี เกล็ดเลือดกลับมาอยู่ในเกณฑ์ปกติ นอกจากนี้ยังส่งตรวจการทำงานของหัวใจอย่างละเอียดโดยสัตวแพทย์ผู้เชี่ยวชาญด้านโรคหัวใจก่อนเข้ารับการผ่าตัด เพื่อให้ทุกอย่างเป็นไปอย่างราบรื่นและปลอดภัยกับตัวน้องโมจิมากที่สุด ผลการตรวจหัวใจพบว่าน้องโมจิมีภาวะลิ้นหัวใจรั่วในระดับต้น ซึ่งเป็นความเสื่อมตามอายุ ยังไม่รุนแรง อยู่ในขั้นที่ยังไม่ต้องรับยาโรคหัวใจและสามารถวางยาเพื่อทำการผ่าตัดได้

น้องโมจิได้รับการผ่าตัดโดยสัตวแพทย์ผู้เชี่ยวชาญด้านโรคกระดูกและข้อ โดยใช้เทคนิค Femeral head and neck excision หรือ FHNE ซึ่งเป็นการตัดเอาส่วนหัวและคอของกระดูกขาหลังส่วนต้นออกเพื่อลดการเสียดสีของหัวกระดูกกับเบ้ากระดูกเชิงกราน หลังจากนี้ร่างกายจะสร้างเนื้อเยื่อพังผืดเข้ามายึดเป็นข้อเทียมทดแทนส่วนที่ตัดออกไป การผ่าตัดเป็นไปได้ด้วยดี น้องโมจิฟื้นตัวไว และอยู่ดูแลภายหลังผ่าตัดที่โรงพยาบาลสัตว์ไอเว็ทจนตัดไหม ตอนนี้น้องโมจิเริ่มลงน้ำหนักที่ขาหลังขวาได้แล้ว แต่ยังคงต้องเข้าหน่วยกายภาพบำบัดเพื่อฟื้นฟูกล้ามเนื้อที่ฝ่อลีบให้กลับมาแข็งแรง และช่วยให้สามารถเดินได้ใกล้เคียงปกติที่สุด
ข้อแนะนำ
ภาวะเจ็บขาในสัตว์เลี้ยงเกิดขึ้นได้จากหลายสาเหตุ ควรได้รับการวินิจฉัยอย่างละเอียดเพื่อแพลนการรักษาให้สามารถกลับมาใช้ขาได้เป็นปกติ
โรคพยาธิเม็ดเลือด เกิดจากการติดเชื้อจากเห็บ ทำให้มีภาวะเลือดจาง เกล็ดเลือดต่ำ ในรายที่มีอาการรุนแรง ทำให้มีไข้ เลือดออกง่าย ตับและไตวายได้ ดังนั้นสัตว์เลี้ยงควรได้รับผลิตภัณฑ์ป้องกันเห็บหมัดเป็นประจำ
ในสุนัขอายุเยอะ มากกว่า 7 ปี นอกจากการตรวจเลือดประเมินสุขภาพทุก 6-12 เดือนแล้ว ยังแนะนำตรวจหัวใจเพิ่มเติม เพื่อคัดกรองโรคหัวใจที่เกิดจากความเสื่อมตามอายุ
น.สพ. สุทธิพงษ์ กรรเกษ
สัตวแพทย์อายุรกรรมทั่วไป